Perry AM, Choi SM. Kikuchi-Fujimoto Disease: A Review. Arch Pathol Lab Med. 2018 Nov; 142(11):1341-1346.
“Kikuchi-Fujimoto disease (KFD) is a rare entity characterized by subacute necrotizing lymphadenopathy and frequently associated with fever. Young adults of Asian ancestry are most commonly affected, but it has been reported worldwide. Despite many studies in the literature, the cause of KFD remains uncertain. Histologically, KFD is characterized by paracortical lymph node expansion with patchy, well-circumscribed areas of necrosis showing abundant karyorrhectic nuclear debris and absence of neutrophils and eosinophils. Three evolving histologic patterns — proliferative, necrotizing, and xanthomatous — have been recognized. By immunohistochemistry, histiocytes in KFD are positive for myeloperoxidase. There is a marked predominance of T cells in the lesions (with mostly CD8-positive cells) with very few B cells. The differential diagnosis of KFD includes infectious lymphadenitis, autoimmune lymphadenopathy (primarily systemic lupus erythematosus), and lymphoma.”

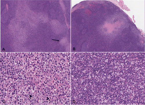
Figure 1. Kikuchi-Fujimoto disease. A, Lymph node with paracortex expanded by circumscribed sheets of histiocytes and areas of necrosis (arrow). B, Well-defined necrotic area. C, Higher magnification of the histiocytic infiltrate with karyorrhectic debris; some histiocytes have crescentic nuclei (arrowheads). Neutrophils are absent. D, In the xanthomatous phase of disease numerous foamy histiocytes are seen without prominent necrosis (hematoxylin-eosin, original magnifications ×40 [A and B] and ×400 [C and D]).
More PubMed results on Kikuchi-Fujimoto disease.